Teeth Whitening in South Kensington
Professional dentist-led teeth whitening from just £199 at our CQC-registered clinic on Old Brompton Road — directly opposite South Kensington tube station. GDC-registered dentists, custom-fitted trays, professional-grade treatment.
*Individual results vary. Images show actual patient outcomes.
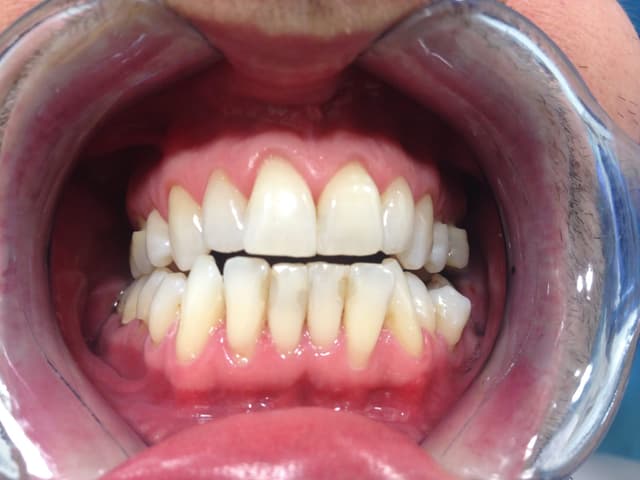
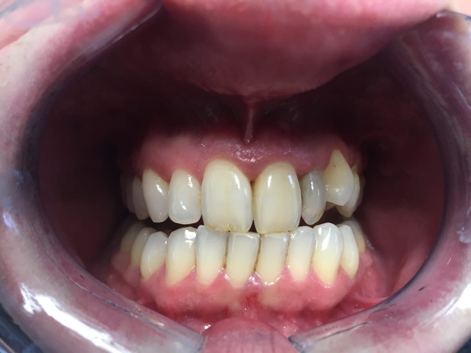
Real Results from Our South Kensington Clinic
Genuine before & after transformations from patients treated at our SW7 clinic.




*Individual results vary. Images show actual patient outcomes. Suitability assessed at consultation.
Professional Teeth Whitening in South Kensington, SW7
Our South Kensington teeth whitening clinic is located at 20 Old Brompton Road, directly opposite South Kensington tube station — one of London's best-connected locations on the District, Circle, and Piccadilly lines. Whether you work near the Natural History Museum, study at Imperial College London, or live in the surrounding SW7 area, professional whitening is right on your doorstep.
Teeth Whitening London is the dedicated whitening clinic of South Kensington Medical & Dental Centre, a CQC-registered practice established for over 15 years. We use the same professional-grade whitening gel as clinics charging £400–600 — products containing up to 6% hydrogen peroxide, the UK legal maximum for dentist-prescribed whitening. The difference? Because whitening is all we do, our GDC-registered dentists see more whitening cases in a week than most practices see in a year, and we pass the volume savings on to you.
Each treatment begins with a thorough consultation to assess your suitability. Your dentist takes impressions for custom-fitted trays, ensuring even gel coverage and comfortable wear. You then complete your whitening at home over 2–3 weeks, with professional support available throughout. Complete teeth whitening packages start from £199, with no hidden fees — that includes consultation, custom trays, a full course of professional gel, and aftercare guidance.
Why Patients Choose Our South Kensington Clinic
- 2 Minutes from South Kensington Tube — District, Circle & Piccadilly lines
- GDC-Registered Dentists — Professional care from qualified dental professionals
- CQC-Regulated Clinic — Registered with the Care Quality Commission
- Custom-Fitted Trays — Made from your impressions for even, comfortable results
- From £199 All-Inclusive — No hidden fees, consultation to aftercare included
- 15+ Years Established — Part of South Kensington Medical & Dental Centre
Getting to Our South Kensington Clinic
Our clinic at 20 Old Brompton Road is one of London's most accessible dental locations.
By Tube
South Kensington station (District, Circle, Piccadilly) — we are directly opposite the station exit.
2 minutes walkBy Bus
Routes 14, 49, 70, 74, 345, 414, 430, C1 all stop within 2 minutes of the clinic.
Stops nearbyBy Car
Pay & display parking available on surrounding streets. Several NCP car parks within 5 minutes.
Parking nearbyWalking
Easy walk from Knightsbridge, Chelsea, Earl's Court, and Kensington via Old Brompton Road.
Central locationTeeth Whitening London
20 Old Brompton Road
South Kensington
London SW7 3DL
Directly opposite South Kensington tube station
Get Directions on Google Maps →
Areas We Serve from South Kensington
Our SW7 clinic welcomes patients from across West and Central London. We are conveniently located for residents and workers in:
Our Second Clinic: City of London
We're opening a new clinic at 5 Ave Maria Lane, EC4M 7AQ — bringing the same professional, dentist-led whitening to the Square Mile. Same team, same £199 pricing.
Learn More About Our City Clinic →Expert Care from GDC-Registered Dentists
Clinical excellence and patient safety are at the heart of everything we do.
Clinical Expertise
All treatments provided by GDC-registered dental professionals with extensive experience in professional teeth whitening.
CQC Regulated
Our clinic is fully regulated by the Care Quality Commission (Provider: Medical and Dental Limited, CQC ID: 1-20629579981).
UK-Compliant Materials
We use professional-grade, enamel-safe whitening materials meeting strict UK dental regulations (6% H₂O₂ maximum).
Suitability Assessed
Every patient receives a thorough dental assessment before treatment to ensure whitening is appropriate for them.
Sensitivity Managed
Our dentists provide sensitivity management plans and use gels with desensitising agents for comfortable treatment.
Ongoing Support
Professional guidance available throughout your treatment. You are never on your own during the whitening process.
Meet Your GDC-Registered Dentists
Every whitening treatment is supervised by qualified dental professionals
Teeth Whitening in South Kensington — Pricing
Transparent pricing with no hidden fees. Everything included from consultation to aftercare.
Professional Home Whitening
- ✓ Initial consultation & suitability assessment
- ✓ Custom-fitted whitening trays
- ✓ Full course of professional-grade gel (6% H₂O₂)
- ✓ Dentist supervision throughout treatment
- ✓ Detailed usage instructions
- ✓ Aftercare guidance & follow-up support
✓ No hidden fees ✓ Pay nothing until treatment day
Suitability assessed at consultation. Temporary sensitivity may occur.
How Professional Home Whitening Works
Simple process — just one clinic visit required, then whiten from the comfort of home.
Consultation
Visit our South Kensington clinic for a thorough dental assessment. Your dentist checks suitability and discusses realistic expectations.
Impressions
We take impressions of your teeth to create custom-fitted trays that ensure even gel coverage and comfortable wear.
Custom Trays
Your trays are professionally fabricated to fit your teeth precisely. You collect them with your whitening gel and full instructions.
Home Whitening
Apply the gel using your custom trays at home, typically for 1–2 hours daily over 2–3 weeks. Professional support is available throughout.
Results & Aftercare
Enjoy your brighter smile. We provide aftercare guidance and affordable top-up gel to help maintain your results long-term.
Opening Hours
Evening appointments available Tuesday & Thursday
What Our Patients Say
Rated 4.9/5 from 300+ verified Google reviews.
Teeth Whitening South Kensington — FAQs
Where exactly is your South Kensington clinic?
We are located at 20 Old Brompton Road, South Kensington, London SW7 3DL — directly opposite South Kensington tube station. The clinic is part of South Kensington Medical & Dental Centre, a CQC-registered practice with over 15 years of experience.
What does the £199 teeth whitening package include?
The complete package includes your initial consultation and suitability assessment, custom-fitted whitening trays made from your dental impressions, a full course of professional-grade whitening gel (6% hydrogen peroxide — the UK legal maximum), detailed instructions, and aftercare guidance. There are no hidden fees.
Is teeth whitening at your South Kensington clinic safe?
Yes. All treatments are provided by GDC-registered dentists in our CQC-regulated clinic. We assess suitability at your consultation, use only UK-approved professional materials with desensitising agents, and provide ongoing support throughout your treatment. Temporary sensitivity may occur but is typically mild and short-lived.
How white will my teeth get?
Results vary between individuals based on factors including natural tooth shade, lifestyle habits, and treatment compliance. Most patients achieve a noticeably whiter smile within 2–3 weeks. We aim for natural-looking results rather than unrealistic expectations, and your dentist will discuss achievable outcomes at your consultation.
How long do the whitening results last?
With good oral hygiene and sensible dietary habits, results typically last 1–2 years. We provide aftercare guidance and offer affordable top-up gel (from £35) so you can maintain your results long-term without needing a full repeat treatment.
Can I whiten my teeth if I have sensitivity?
Many patients with mild sensitivity can still whiten safely under professional supervision. Our dentists assess your suitability and can adjust application times and gel concentration to minimise discomfort. We use gels containing desensitising agents for added comfort. Suitability is confirmed at your consultation.
Book Your Teeth Whitening in South Kensington
Professional, dentist-supervised whitening from £199. Book your consultation at our CQC-regulated clinic today.
Suitability assessed at consultation • Pay nothing until treatment day



