Teeth Whitening in the City of London
Professional dentist-led teeth whitening from just £199, coming to the Square Mile. Our second clinic at 5 Ave Maria Lane, EC4M 7AQ — the same GDC-registered team, same clinical standards, same trusted treatment. CQC registration is in progress. Until then, book at our CQC-registered South Kensington clinic.
🏗️ This clinic is opening in April 2026
Our City of London clinic is currently being fitted out. In the meantime, you can receive the same treatment from the same team at our established South Kensington clinic.
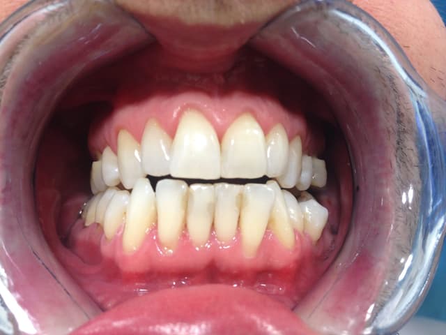
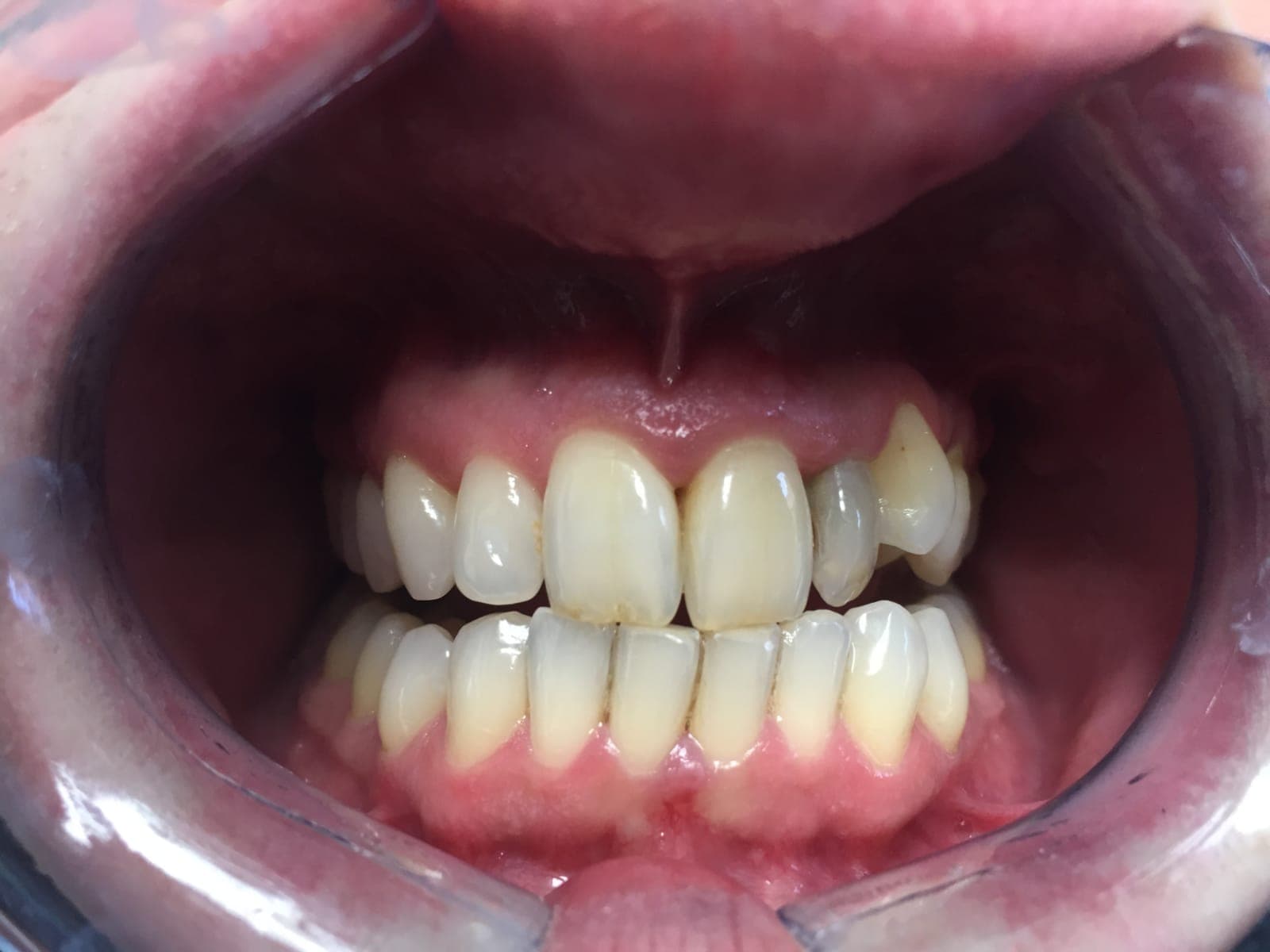
Book at South Kensington Instead →Results from Our South Kensington Clinic
The same GDC-registered dentists delivering these results will be at our City clinic.




*Individual results vary. Images show actual patient outcomes from our South Kensington clinic. Suitability assessed at consultation.
Professional Teeth Whitening for the Square Mile
We're bringing professional teeth whitening to the City of London with a new clinic at 5 Ave Maria Lane, EC4M 7AQ — in the heart of the Square Mile, just minutes from St Paul's Cathedral, the Old Bailey, and the Barbican. If you work in the City, you'll no longer need to travel across London for dentist-led whitening.
Our City clinic will be operated by the same GDC-registered dentists who deliver results at our established South Kensington practice. The treatment is identical to what you'd receive at any top London dental clinic: your dentist assesses suitability, takes impressions for custom-fitted trays, and prescribes professional-grade whitening gel containing up to 6% hydrogen peroxide. Most dental practices charge £300–600 for this treatment — because we only do whitening, we offer it from £199. CQC registration for this location is currently in progress — the clinic will not open until registration is confirmed. In the meantime, you can book at our CQC-registered South Kensington clinic.
The City clinic is designed for busy professionals who want to fit whitening around their working day. With opening hours of Monday to Friday, 8am to 8pm, you can visit before work, during lunch, or on your way home. One visit is all that's needed — you then complete your whitening at home over 2–3 weeks with professional support available throughout. Complete teeth whitening packages start from £199, with no hidden fees.
Why the City of London Clinic
- 3 Minutes from St Paul's Tube — Plus 5 more stations within 8 minutes
- Same GDC-Registered Team — The dentists you trust from South Kensington
- CQC Registration In Progress — Clinic will not open until CQC registration is confirmed
- Extended Hours for City Workers — Monday to Friday, 8am to 8pm
- From £199 All-Inclusive — Same pricing as South Kensington, no hidden fees
- One Clinic Visit — Then complete whitening from home at your own pace
Getting to Our City of London Clinic
5 Ave Maria Lane is one of the best-connected locations in the City, with six tube stations within walking distance.
St Paul's
Central line — the closest station to our clinic.
3 minutes walkCity Thameslink
Thameslink — direct services from across London and the South East.
4 minutes walkBlackfriars
District, Circle lines — walk north across Ludgate Circus.
5 minutes walkMansion House
District, Circle lines — walk west along Queen Victoria Street.
6 minutes walkAlso Nearby
Bank — 8 min walk
Farringdon — 8 min walk
By Bus
Routes 4, 11, 15, 17, 26
Stops within 3 minutes
Teeth Whitening London
5 Ave Maria Lane
City of London
London EC4M 7AQ
Near St Paul's Cathedral, opening April 2026
Areas We'll Serve from the City
Our EC4 clinic will be ideally located for workers and residents across the City and East London:
Need an Appointment Now?
Our South Kensington clinic at 20 Old Brompton Road, SW7 3DL is open and accepting new patients. Same GDC-registered team, same £199 pricing, same professional results.
Book at South Kensington →Expert Care from GDC-Registered Dentists
The same clinical excellence you trust at South Kensington, now coming to the City.
Clinical Expertise
All treatments provided by GDC-registered dental professionals with extensive experience in professional teeth whitening.
CQC Registration In Progress
CQC registration for our City of London clinic is currently in progress. The clinic will not open until registration is confirmed. Until then, you can book at our CQC-registered South Kensington clinic.
UK-Compliant Materials
We use professional-grade, enamel-safe whitening materials meeting strict UK dental regulations (6% H₂O₂ maximum).
Suitability Assessed
Every patient receives a thorough dental assessment before treatment to ensure whitening is appropriate for them.
Sensitivity Managed
Our dentists provide sensitivity management plans and use gels with desensitising agents for comfortable treatment.
Ongoing Support
Professional guidance available throughout your treatment. You are never on your own during the whitening process.
Meet Your GDC-Registered Dentists
The same trusted professionals from our South Kensington clinic
Teeth Whitening in the City of London — Pricing
Same transparent pricing as our South Kensington clinic. No hidden fees.
Professional Home Whitening
- ✓ Initial consultation & suitability assessment
- ✓ Custom-fitted whitening trays
- ✓ Full course of professional-grade gel (6% H₂O₂)
- ✓ Dentist supervision throughout treatment
- ✓ Detailed usage instructions
- ✓ Aftercare guidance & follow-up support
✓ No hidden fees ✓ Pay nothing until treatment day
Suitability assessed at consultation. Temporary sensitivity may occur.
How Professional Home Whitening Works
Simple process — just one clinic visit required, then whiten from the comfort of home.
Consultation
Visit our clinic for a thorough dental assessment. Your dentist checks suitability and discusses realistic expectations.
Impressions
We take impressions of your teeth to create custom-fitted trays that ensure even gel coverage and comfortable wear.
Custom Trays
Your trays are professionally fabricated to fit your teeth precisely. You collect them with your whitening gel and full instructions.
Home Whitening
Apply the gel using your custom trays at home, typically for 1–2 hours daily over 2–3 weeks. Professional support is available throughout.
Results & Aftercare
Enjoy your brighter smile. We provide aftercare guidance and affordable top-up gel to help maintain your results long-term.
Opening Hours — City of London
Extended hours designed for City professionals
What Our Patients Say
Rated 4.9/5 from 300+ verified Google reviews across our practice.
Teeth Whitening City of London — FAQs
When does your City of London clinic open?
Our City of London clinic at 5 Ave Maria Lane, EC4M 7AQ is scheduled to open in April 2026. In the meantime, you can book at our established South Kensington clinic at 20 Old Brompton Road, SW7 3DL, which offers the same team, treatments, and pricing.
What does the £199 teeth whitening package include?
The complete package includes your initial consultation and suitability assessment, custom-fitted whitening trays made from your dental impressions, a full course of professional-grade whitening gel (6% hydrogen peroxide — the UK legal maximum), detailed instructions, and aftercare guidance. There are no hidden fees.
Will the City clinic have the same team?
Yes. Our City of London clinic will be staffed by the same GDC-registered dentists who work at our South Kensington practice. You will receive the same standard of professional care, using the same proven treatment protocols and UK-approved materials.
How do I get to the City of London clinic?
Our City clinic at 5 Ave Maria Lane is exceptionally well-connected: St Paul's station is 3 minutes' walk, City Thameslink 4 minutes, Blackfriars 5 minutes, Mansion House 6 minutes, Bank 8 minutes, and Farringdon 8 minutes. Multiple bus routes (4, 11, 15, 17, 26) also serve the area.
Is teeth whitening safe?
Yes. All treatments are provided by GDC-registered dentists using UK-approved professional materials with desensitising agents. CQC registration for our City of London clinic is currently in progress — the clinic will not open until this is confirmed. In the meantime, you can book at our South Kensington clinic, which is fully CQC-registered (Provider: Medical and Dental Limited, 1-20629579981). Temporary sensitivity may occur but is typically mild and short-lived.
Can I book now for the City clinic?
Appointments for our City of London clinic will be available closer to the opening date in April 2026. If you'd like to start your whitening treatment sooner, you're welcome to book at our South Kensington clinic — it's the same team, same treatment, and same £199 pricing.
Professional Teeth Whitening Coming to the City of London
Our City clinic opens April 2026. In the meantime, book at our South Kensington clinic for the same trusted treatment from £199.
Suitability assessed at consultation • Pay nothing until treatment day



